
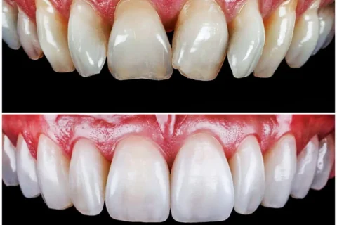
Protetica dentară se remarcă printr-o combinație perfectă între estetică și funcționalitate, oferind pacienților soluții personalizate pentru restaurarea zâmbetului. Fie că este vorba despre coroane, punți sau proteze, fiecare lucrare este creată cu precizie și atenție la detalii pentru a asigura confort și durabilitate.

Lucrările protetice pe implant realizate în laboratorul nostru sunt proiectate cu tehnologie de ultimă generație, asigurând o adaptare perfectă și integrare estetică impecabilă. Aceste soluții oferă pacienților stabilitate, funcționalitate optimă și un zâmbet natural, contribuind la creșterea calității vieții.

Tehnologii de prelucrare asistată de computer (CAD/CAM), care transformă modelele digitale în lucrări fizice. Tehnologie de vârf ce asigură durabilitate superioară și reproducere exactă: Înlocuirea unei lucrări sau ajustările devin simple, datorită arhivării digitale a proiectului inițial.

Oferim o gamă variată de servicii premium, de la fațete dentare și coroane din zirconiu, până la gutiere personalizate și lucrări provizorii rapide. Prin utilizarea tehnologiei avansate, fiecare lucrare este creată cu precizie și adaptată perfect nevoilor pacienților, asigurând estetică și funcționalitate de top.